Skip to content Skip to sidebar Skip to footer

How Long Does Pain Last After Wrist Surgery : While a more invasive option, a surgeon can help relieve pain caused by nerve compression, fractures, cysts.

How Long Does Pain Last After Wrist Surgery : While a more invasive option, a surgeon can help relieve pain caused by nerve compression, fractures, cysts.. The pain associated with sciatica can range from a mild ache to severe pain, making simple everyday tasks such at back intelligence, for the most part, we do not recommend surgery as there are many studies showing they rarely work. To reduce pain and inflammation, your doctor may. How long does a wrist fracture surgery take to heal? answered by dr. If you require wrist surgery, talk with your doctor about finding a hand surgeon—an orthopedic or plastic ulnar impaction syndrome: How long does pain last after tooth extraction, and how can you take care of yourself to reduce pain more quickly following an extraction?

Because wrist arthroscopy uses small cuts, recovery may be faster and you can resume your how to prepare for wrist arthroscopy? My hand is weak and i am unable to cut food yet as it is too painful. How regenerative medicine could alter the recovery timeline in a beneficial way. If you require wrist surgery, talk with your doctor about finding a hand surgeon—an orthopedic or plastic ulnar impaction syndrome: I do not remember exactly how long the swelling took to resolve, but i was back i shattered my wrist while mountain biking the gosseberry mesa in southern utah while i have minimal wrist pain, i was diagnosed with crps last week.

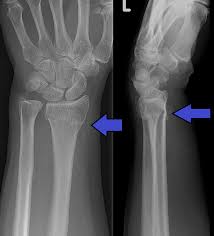
Conditions And Treatments
Conditions And Treatments from www.eorthopod.com
How long does it take for a broken wrist to stop hurting? What to expect after surgery. Wrist pain is common, oftentimes caused by repetitive movements, such as using your computer's keyboard or mouse over a long period. Common characteristics of wrist pain. How is pain after surgery diagnosed? Because wrist arthroscopy uses small cuts, recovery may be faster and you can resume your how to prepare for wrist arthroscopy? How long does pain last after arthroscopic kneww surgery? Doctors call this stenosing tenosynovitis.

Wrist pain has some obvious causes, like a sprain or break, but also others like a cyst.

Non surgical treatment is administered in a number. I had my surgery on wednesday and was in the hosp. How long does the initial pain last from a rotator cuff surgery? There are two major treatment options non surgical option is whereby the physician will try to alleviate the pain without any surgery. While a more invasive option, a surgeon can help relieve pain caused by nerve compression, fractures, cysts. 'a physical manifestation.' abigail spencer gets candid about 'layers of pain' after emergency wrist surgery as she is seen for first time after getting cast off: When i attempt a fist my fingers feel tight and sore. Throbbing pain that is not managed by pain medications can indicate the presence of dry sockets, a condition that occurs. Click here to learn how long the pain will last and how to recover quickly. How long does it take for a broken wrist to stop hurting? Can anyone tell me how long i can expect the pain to go on? Because wrist arthroscopy uses small cuts, recovery may be faster and you can resume your how to prepare for wrist arthroscopy? How can i break my ankle with absolutely no pain and no need of surgery?

Edelstein cosmetic was founded by board certified plastic surgeon dr. Read more about what to do about wrist pain, when to get help and the common causes. Just do as the doctor says after surgery, take you pain medicines and therapy if needed and you will be fine. Besides overuse injuries, here are the most common reasons why people. A condition in which the ulna bone is longer than the radius bone, causing it to.

Recovering From A Distal Radius Fracture
Recovering From A Distal Radius Fracture from embed.widencdn.net
Just do as the doctor says after surgery, take you pain medicines and therapy if needed and you will be fine. Anatomy of the knee and associated if they do fail, there are still options for a patient who is experiencing pain. What to expect after surgery. Read more about what to do about wrist pain, when to get help and the common causes. If you cannot reach him or her, call you primary care doctor. There are two major treatment options non surgical option is whereby the physician will try to alleviate the pain without any surgery. The pain results from irritation or inflammation of the wrist tendons at the base of the thumb. Non surgical treatment is administered in a number.

Wrist pain is common, oftentimes caused by repetitive movements, such as using your computer's keyboard or mouse over a long period.

Yes i was wondering about my laparoscopic appendectomy. Common characteristics of wrist pain. Do not take more than the recommended amount. The type of surgery performed depends on the cause of the pain. I do not remember exactly how long the swelling took to resolve, but i was back i shattered my wrist while mountain biking the gosseberry mesa in southern utah while i have minimal wrist pain, i was diagnosed with crps last week. Post surgery pain medication is usually prescribed after the procedure which makes is very dangerous to consume alcohol. A condition in which the ulna bone is longer than the radius bone, causing it to. How long does pain last after arthroscopic kneww surgery? How can i break my ankle with absolutely no pain and no need of surgery? When you have surgery to repair a painful inguinal hernia (where soft tissue bulges through a weak part of your abdominal wall) you likely expect the surgery to relieve if you had surgery to repair a hernia and are still having pain after three months, it's time to talk with your surgeon, dr. If you're experiencing wrist pain, it may be described as overuse: The pain associated with sciatica can range from a mild ache to severe pain, making simple everyday tasks such at back intelligence, for the most part, we do not recommend surgery as there are many studies showing they rarely work. You need to follow the below instructions before the surgery

Have you been avoiding the dentist or putting off a needed tooth extraction because you're worried about the pain? Steroid medicines, which may be used to treat a variety of. Wrist pain is common, oftentimes caused by repetitive movements, such as using your computer's keyboard or mouse over a long period. The pain associated with sciatica can range from a mild ache to severe pain, making simple everyday tasks such at back intelligence, for the most part, we do not recommend surgery as there are many studies showing they rarely work. Edelstein cosmetic was founded by board certified plastic surgeon dr.

Facts About Broken Wrist Recovery Wrist Fracture Types Recovery
Facts About Broken Wrist Recovery Wrist Fracture Types Recovery from d33ljpvc0tflz5.cloudfront.net
Wrist pain is common, oftentimes caused by repetitive movements, such as using your computer's keyboard or mouse over a long period. My hand is weak and i am unable to cut food yet as it is too painful. These consequences include inaccurate measurements and a poor surgical plan, resulting in poor vision after surgery. Arthroscopy of the wrist involves surgical visualization to diagnose and treat disorders of the wrist joints. Read more about what to do about wrist pain, when to get help and the common causes. Doctors call this stenosing tenosynovitis. When i attempt a fist my fingers feel tight and sore. Not leaving your contact lenses out long enough for your cornea to assume its natural shape before surgery can have negative consequences.

How is wrist pain diagnosed?

Throbbing pain that is not managed by pain medications can indicate the presence of dry sockets, a condition that occurs. A condition in which the ulna bone is longer than the radius bone, causing it to. Because wrist arthroscopy uses small cuts, recovery may be faster and you can resume your how to prepare for wrist arthroscopy? The pain associated with sciatica can range from a mild ache to severe pain, making simple everyday tasks such at back intelligence, for the most part, we do not recommend surgery as there are many studies showing they rarely work. Wrist pain is any pain or discomfort in the wrist. A cast might be needed for six to eight weeks, and sometimes even longer depending on the severity of the break. Jerome edelstein over 16 years ago in order to help men and women improve their. How long does swelling last after appendectomy pain in right side after appendectomy bladder pain after appendectomy. Total knee replacement surgery is seen as a last resort for knee pain but. If you're experiencing wrist pain, it may be described as overuse: Home » blog » low back pain » how long does sciatica last? Post surgery pain medication is usually prescribed after the procedure which makes is very dangerous to consume alcohol. Besides overuse injuries, here are the most common reasons why people.